
11月3日,一名30岁男性在我院接受了河北省首台5.0T超高场核磁共振头颅血管成像检查,图像清晰精准地反映出患者右侧小脑区域的血管畸形情况,该患者对我院的诊疗实力与服务温度给予充分肯定。相较于传统核磁共振,这台设备实现了“超高场全身各部位成像”的技术突破,它以业界领先的超高性能实现亚毫米级超高清成像,尤其在神经、心血管、体腹、关节等部位肿瘤疾病的早期发现、精准评估、个性化治疗方案制定中提供了的强大影像支持,将为全省乃至周边地区患者带来更优质、更精准的医疗服务。

5.0T磁场强度远高于其他设备,使得氢原子核在磁场中的响应信号极大地增强。这就像在安静的房间里能听清细微的声音一样,高信噪比能让医生看到更微小、更模糊的病变结构。例如上述患者的检查,该设备可以呈现0.2x0.2毫米高分辨率的图像以及动态显示血管走行,使得病变血管的细微解剖结构、分布及其与周边脑组织的关系得以直观呈现,为临床医生进行精准诊断并制定后续治疗方案提供了重要的影像学依据。

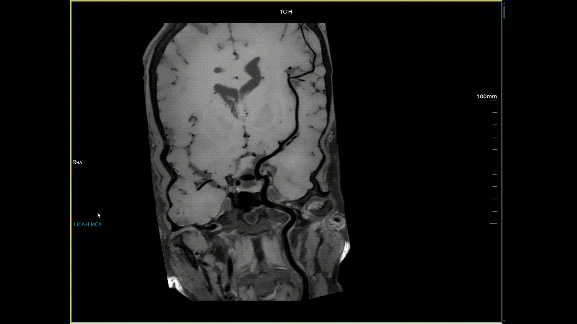
4D非造影剂头颅血管成像

头颈血管斑块,分辨率0.4*0.4mm

磁敏感成像SWI,分辨率0.2*0.2mm

胰腺小视野高分辨,分辨率0.5*0.5mm
相比目前临床广泛使用的1.5T和3.0T核磁共振设备,5.0T核磁共振的优势十分显著。该设备能为患者带来更早、更精准的诊断,有效规避漏诊与误诊,助力患者及时接受规范治疗以显著改善预后,尤其对于恶性肿瘤和神经系统疾病,早期精准诊断更能重塑患者生命轨迹。同时,依托其提供的精确病灶信息,医生可制定“量身定制”的手术、放疗或药物治疗方案,实现疗效最大化与副作用最小化。作为连接临床与科研的桥梁、推动医学进步的强大引擎,5T技术还支持实时观察疾病微观演化过程以探索疾病新机制,并凭借卓越的功能和代谢成像能力,开发可用于疾病早期诊断、分型及疗效预测的新型成像生物标志物。
5.0T核磁共振是医学影像学的未来发展方向,它绝非一台仅能拍出“更清晰影像”的设备,更是强大的生理、病理及代谢信息探测平台。可以预见,它将引领临床诊断迈入全新的“精准时代”,让患者切实享受到更早期、更安全、更有效的高质量诊疗服务。我院将依托这一先进设备,持续提升个体化精准诊断能力,以尖端技术与实际行动守护人民群众生命健康。
相比目前临床广泛使用的1.5T和3.0T核磁共振设备,5.0T核磁共振的优势十分显著。该设备能为患者带来更早、更精准的诊断,有效规避漏诊与误诊,助力患者及时接受规范治疗以显著改善预后,尤其对于恶性肿瘤和神经系统疾病,早期精准诊断更能重塑患者生命轨迹。同时,依托其提供的精确病灶信息,医生可制定“量身定制”的手术、放疗或药物治疗方案,实现疗效最大化与副作用最小化。作为连接临床与科研的桥梁、推动医学进步的强大引擎,5T技术还支持实时观察疾病微观演化过程以探索疾病新机制,并凭借卓越的功能和代谢成像能力,开发可用于疾病早期诊断、分型及疗效预测的新型成像生物标志物。
5.0T核磁共振是医学影像学的未来发展方向,它绝非一台仅能拍出“更清晰影像”的设备,更是强大的生理、病理及代谢信息探测平台。可以预见,它将引领临床诊断迈入全新的“精准时代”,让患者切实享受到更早期、更安全、更有效的高质量诊疗服务。我院将依托这一先进设备,持续提升个体化精准诊断能力,以尖端技术与实际行动守护人民群众生命健康。
CT磁共振科